矯正歯科

こんなお悩みありませんか?

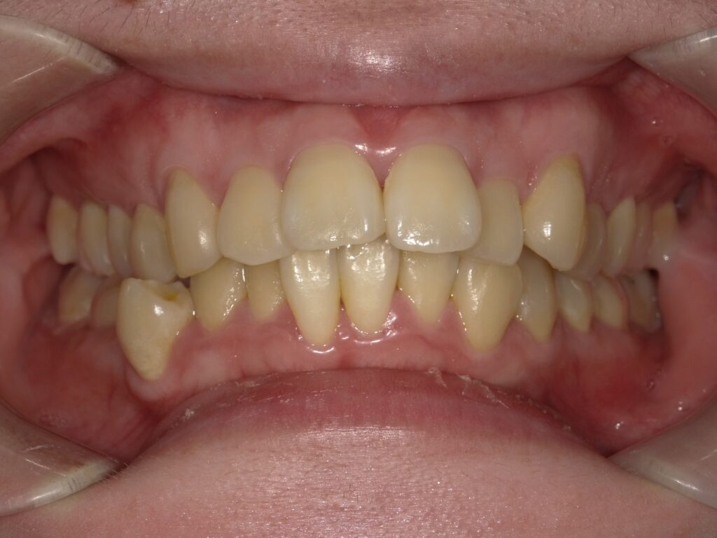
<歯がでこぼこしている>

 

○歯並びがでこぼこしていると感じることがある

○歯に食べ物が詰まりやすい

○犬歯などが飛び出ている・八重歯がある

<受け口>

○口を閉じると、下の歯が上の歯よりも前に出ている

○顎がしゃくれている

○下顎が大きい

○食べ物をうまく噛むことができない

○話が聞き取りにくいと言われることがある

<出歯>

○上唇が上がったままで、口を閉じにくい

○無理して口を閉じると、口元が不自然になる

<すきっ歯>

○前歯に隙間がある

○サ行が発音しにくい

<前歯がうまく閉じられない>

○噛み合わせても、上の歯と下の歯のに隙間ができる

○下を前方に突き出す癖がある

○食べ物が前歯で噛みにくい

お子さまから成人まで様々な歯並びのお悩みを改善します

お子さまから成人まで様々な歯並びのお悩みを改善します

当院では矯正担当医による専門的な矯正治療が受けられます。
一般歯科の先生でも矯正治療はできますが、不正歯列の強い難症例になると対応が難しく、矯正専門医や大学病院を紹介するケースがほとんどです。
当院の矯正担当医は、矯正治療専門の歯科医師です。豊富な経験と知識があり、軽度の不正歯列から難症例までさまざまな症例に対応できます。月に一度先生が来院し、診療に当たっています。
当院でも、お子さまの床矯正から成人のワイヤー矯正、マウスピース型カスタムメイド型矯正装置(インビザライン®︎)、裏側矯正まで幅広く対応しています。それぞれの患者さまに合った治療方法をご提案しますので、歯並びが気になる方はお気軽にご相談ください。

「子どもの矯正」5~6歳になったら矯正相談を

当院では、お子さまの矯正相談を行っています。お子さまのお口を拝見して歯並びや噛み合わせの状態を確認し、治療が必要かどうかを判断します。
5~6歳ぐらいになったら一度ご相談ください。また受け口(反対咬合)のお子さまは3歳ぐらいから診断ができます。いずれにしても、なるべく早めの相談をおすすめします。

「小児矯正」成長を利用した二段階の治療

「小児矯正」成長を利用した二段階の治療

小児矯正はお子さまの成長に合わせた治療です。第一期治療、第二期治療の二段階方式で進めていきます。

第一期治療

永久歯に生え変わった6~7歳ごろから始める矯正です。お子さまの顎の成長を促しながら、歯が並ぶスペースを作ります。一般的には「床矯正装置」を使って顎の骨を少しずつ拡大していきます。この時期の治療次第では第二期治療が短くなったり、不要になったりする場合もあります。

第二期治療

ワイヤーを使った本格的な矯正治療です。第一期治療では歯のねじれを治すことができないので、ワイヤーを使ってねじれを矯正して歯並びや噛み合わせを整えます。

「大人の矯正」美しい歯並びを手に入れる

大人になってから矯正治療を始める方が増えています。
小児期だけしかできないと思っている方が多いようですが、歯はいくつになっても動かすことが可能です。顎の成長がすでに止まっているので多くの場合は抜歯が必要になりますが、しっかり治療をすると美しく綺麗な歯並びになります。歯並びでお悩みの方はお気軽にご相談ください。

当院の矯正治療メニュー

当院では、ワイヤー矯正からマウスピース矯正、裏側矯正まで、幅広く対応しています。歯並びや患者さまのニーズに合わせて、効果の出やすい装置を使って治療します。

ワイヤー矯正

ワイヤー矯正

表側矯正と言われるスタンダードな治療法です。歯の表側にブラケット呼ばれる装置を取り付けて、その間にワイヤーを通します。ワイヤーの張り方を調整することで微妙なコントロールができ、ねじれや曲がりのある歯も綺麗に揃えることができます。近年は透明で目立ちにくい装置も開発され、見た目も気にならなくなっています。

裏側矯正

裏側矯正

舌側(ぜっそく)矯正とも呼ばれる治療法で、歯の裏側に装置を取り付けて歯を動かしていきます。装置が全く表に出ないので他人にほとんど気付かれません。見た目を気にする方や、営業・受付といった人と接する仕事をする方に多く選ばれる矯正方法です。

マウスピース型カスタムメイド型矯正装置(インビザライン®︎)

インビザライン

マウスピース型カスタムメイド型矯正装置(インビザライン®︎)は透明のマウスピースを使った目立たない矯正治療です。一定期間ごとに形が違うマウスピースを交換して歯を動かしていきます。
透明なので周りの人に気づかれることがほとんどありません。取り外しが簡単にできるので清掃性は高いですが、その分自己管理が大切です。必ず歯科医師の指示通りに装着してください。

マウスピース矯正のメリット

インビザライン

○目立たないので人に気付かれずに矯正ができる
○食事や歯磨きの際に、簡単に取り外しができるので食事に制限がない
○清掃生が高く、虫歯になりづらい
○痛みが少ない
○歯の移動に無駄な動きがない
○気になる歯並びの部分的な矯正であれば、短期間で低価格で進めることができる
○術前のシミュレーションで事前に動きを確認することができる
○金属アレルギーの心配がない

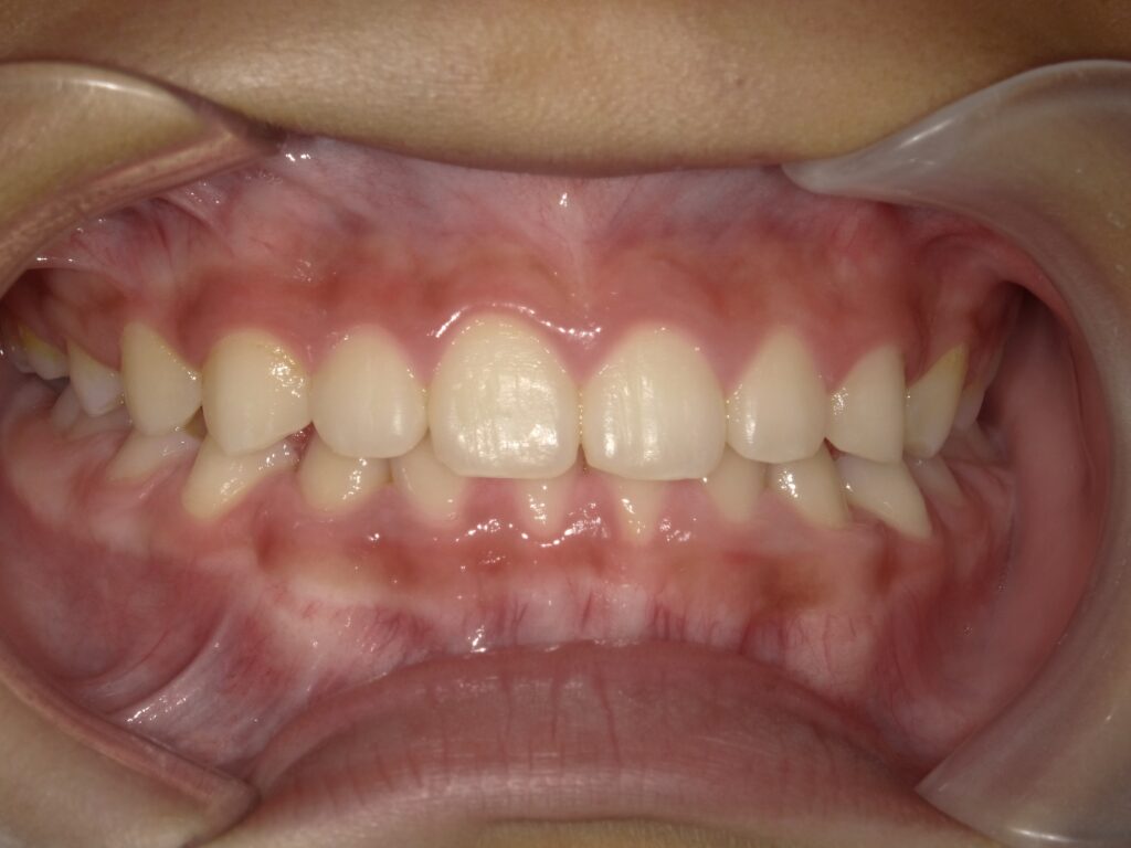
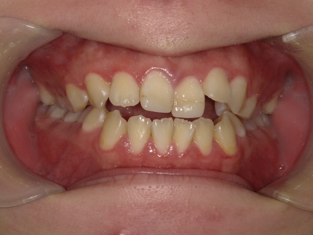
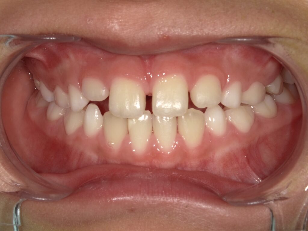
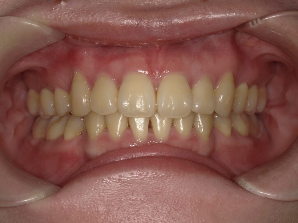
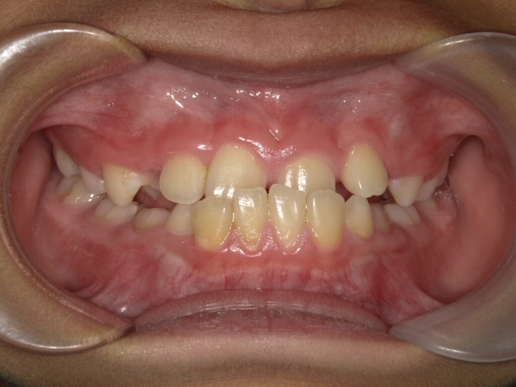
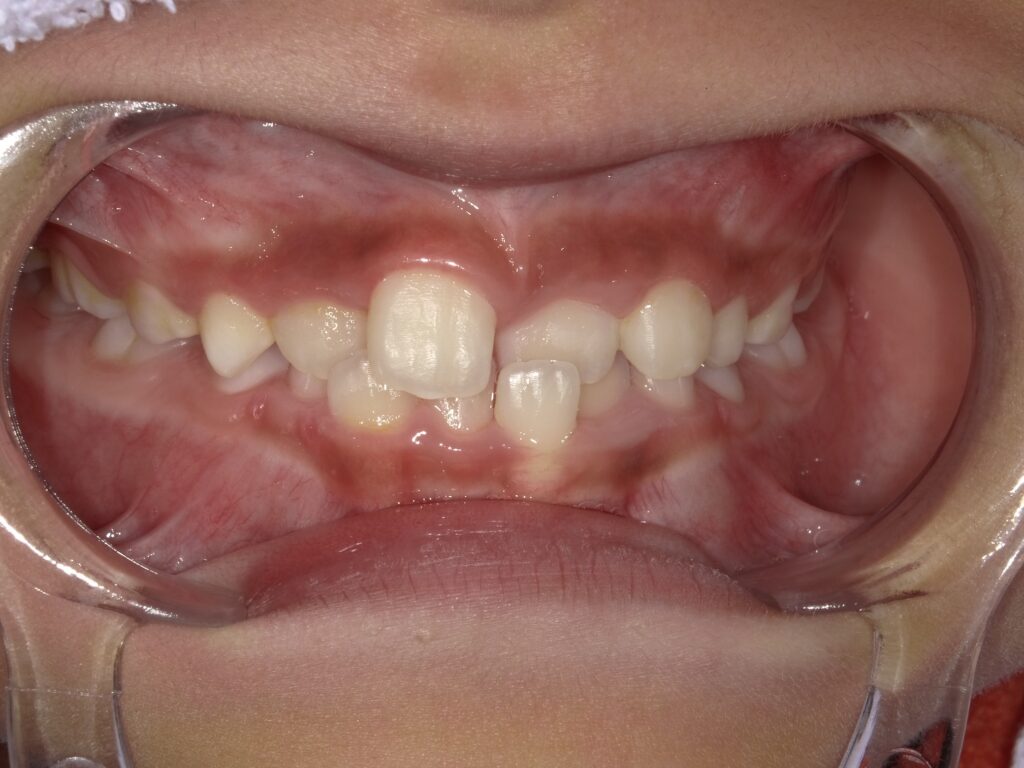
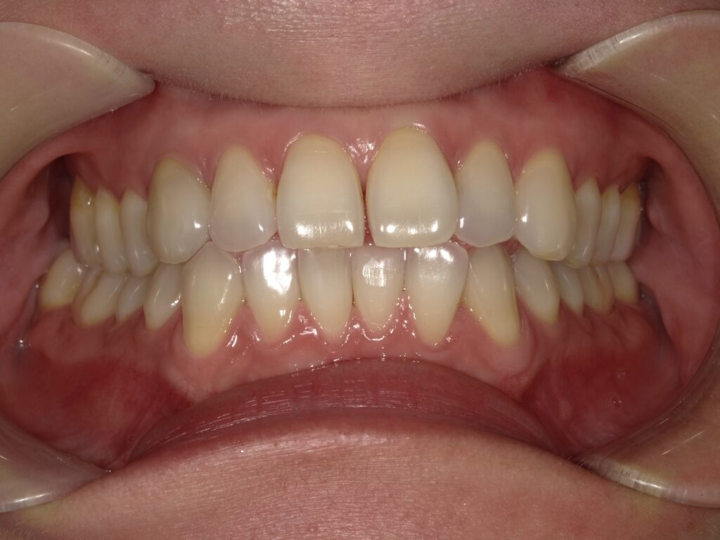
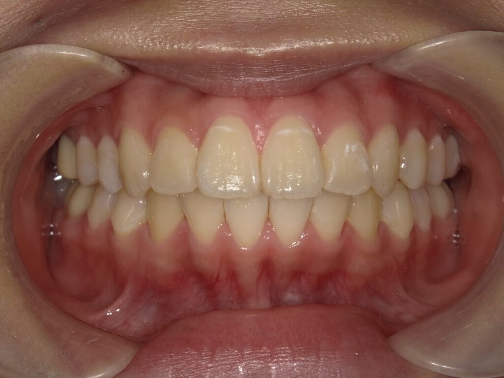
症例について

小児矯正の症例①

年齢 準備中
主訴 準備中
使用装置 準備中
治療期間 準備中
費用総額 準備中

小児矯正の症例②

年齢 準備中
主訴 準備中
使用装置 準備中
治療期間 準備中
費用総額 準備中

小児矯正の症例③

年齢 準備中
主訴 準備中
使用装置 準備中
治療期間 準備中
費用総額 準備中

小児矯正の症例④

年齢 準備中
主訴 準備中
使用装置 準備中
治療期間 準備中
費用総額 準備中

小児矯正の症例⑤

年齢 準備中
主訴 準備中
使用装置 準備中
治療期間 準備中
費用総額 準備中

小児矯正の症例⑥

年齢 準備中
主訴 準備中
使用装置 準備中
治療期間 準備中
費用総額 準備中

小児矯正の症例⑦

年齢 準備中
主訴 準備中
使用装置 準備中
治療期間 準備中
費用総額 準備中

小児矯正の症例⑧

年齢 準備中
主訴 準備中
使用装置 準備中
治療期間 準備中
費用総額 準備中

小児矯正の症例⑨

年齢 準備中
主訴 準備中
使用装置 準備中
治療期間 準備中
費用総額 準備中

矯正治療の流れ

カウンセリング

1、無料相談

はじめに、現状のお悩みや希望の治療方法をお伺いいたします。またワイヤー矯正などとの比較や、治療費用の案内、簡易的なシミュレーションを行います。

アイテロ

2、精密検査

レントゲンや歯型データを分析し治療計画を作成いたします。
※矯正治療前に虫歯があった場合、そちらの治療を優先する場合があります。

シミュレーション

3、シミュレーション

3Dデジタルシミュレーションをもとに治療期間や治療計画の説明を行います。

マウスピース矯正

4、治療スタート

実際にマウスピースの作製、注意事項の説明を行います。

治療プラン

無料相談 0円

実際にマウスピースの作製、注意事項の説明を行います。

精密検査 40,000円(税別)

実際に治療計画をたてるための、分析材料となります。
ただし無料相談から3週間以内は30,000円です。

保定装置 40,000円(税別)

矯正治療が終わったときに、後戻りを防止するために使用する装置です。

お子さまのマウスピース矯正 500,000円(税別)
月々8,300円から

お子さまの混合歯列期に対応した治療プランです。
月々の調整料/管理料はかかりません。

部分矯正(前歯の矯正) 400,000円(税別)
月々6,600円から 

軽度の症例の場合です。
月々の調整料/管理料はかかりません。

大人のマウスピース矯正 850,000円(税別) 
月々14,100円から

月々の調整料/管理料はかかりません。
5年保証が適用されます。

安心の5年保証

5年保証

ハレノテラス歯科・矯正歯科のマウスピース矯正は、治療に5年間の保証期間を設けています。
治療中にマウスピース紛失した場合に起こる作り直しの追加費用は一切いただきません。 また、5年以内にやり直しを希望された場合も、追加の治療費はいただいておりません。

◉マウスピース型矯正装置インビザラインはインビザラインジャパン株式会社の製品であり医薬品医療機器等法(薬機法)の承認を受けていない未承認医薬品です。医薬品副作用被害救済制度の対象外となる場合があります。国内にもマウスピース型矯正装置として医薬品医療機器等法(薬機法)の承認を受けているものは複数存在します。
マウスピース型矯正装置インビザラインは1998年に FDA(米国食品医薬品局)により医療機器として認証を受けています。

透明マウスピース型矯正歯科装置のリスクについて

(1)治療可能な症例に制限があります。
(2)装着時間を守らない場合は、治療が長引いたり治療結果が不十分になったりします。(1日20時間以上)
(3)初診時の模型ですべての型を作成するため、治療途中に虫歯が出来てしまうとマウスピースが合わなくなります。
(4)装置が透明なため着色することがあります。
(5)装置の紛失の可能性があります。

ご予約・お問い合わせ

すべての方に安心して通っていただける環境づくりを行っています。
まずはお気軽にご連絡ください。

診療時間
10:00~13:30 × ×
15:00~20:00 × ×
pagetop